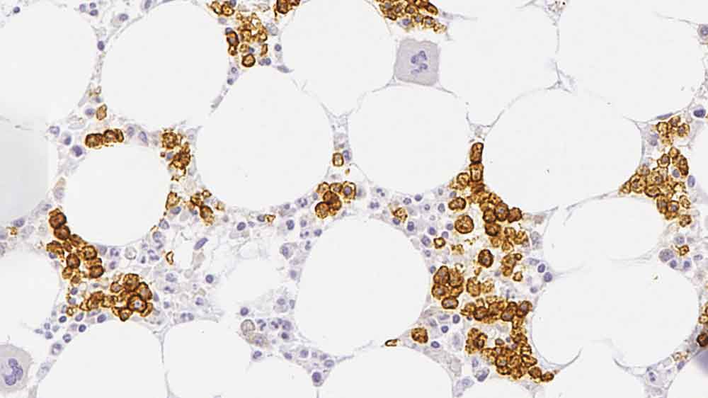
Human bone marrow: immunohistochemical staining for CD71. Note membrane staining of erythroid progenitor cells. CD71: clone 10F11

CD71

Antigen Background

The CD71 molecule is a type II membrane glycoprotein with a molecular weight of approximately 180 kD. It is known as the transferrin receptor and is composed of two disulfide-bonded 90 kD subunits. The CD71 molecule plays a critical role in cell proliferation by controlling the supply of iron, an essential component for many metabolic pathways, through the binding and endocytosis of transferrin, the major iron-carrying protein. CD71 protein is reported to be expressed on activated B and T cells, macrophages, proliferating cells and metabolically active cells, for example, neurons.

Disclaimer

CD71 is recommended for the detection of specific antigens of interest in normal and neoplastic tissues, as an adjunct to conventional histopathology using non-immunologic histochemical stains.

Products

Products

CD71-309-L-CE
1ml NCL-L-CD71-309

Downloads

Downloads

CD71-309-L-CE

Recently Viewed