ChromoPlex 1 Dual Detection for BOND

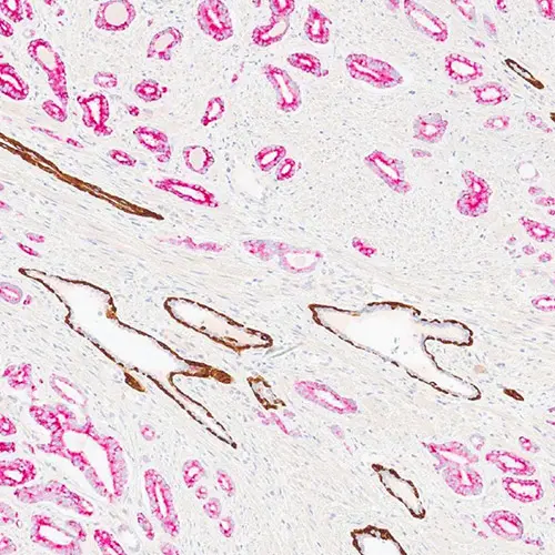
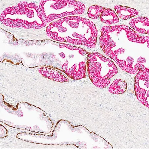
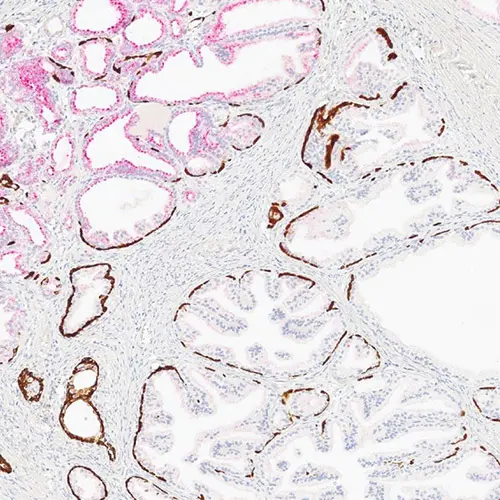
The ability to see multiple markers on one slide can give more insight into diagnosis particularly when tissue is limited.

Maximize your efficiency with ChromoPlex 1 Dual Detection for BOND-MAX, BOND-III and BOND-PRIME. ChromoPlex 1 delivers a fully automated, one-step solution for parallel dual-plex staining in immunohistochemistry.

  • Stable red and brown chromogens in one detection kit
  • For use with commercially available or self-validated cocktails
  • Crisp and clear red and brown staining, allowing for excellent ease of interpretation

Products

Products

DS9665
ChromoPlex 1 Dual Detection - 50 Test
DS9477
ChromoPlex 1 Dual Detection for BOND
DS9397
BOND-PRIME ChromoPlex 1 Dual Detection

Downloads

Downloads

DS9665

DS9477

DS9397

Recently Viewed