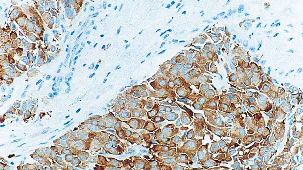
Breast carcinoma showing neuroendocrine differentiation: immunohistochemical staining for Synaptophysin. Note cytoplasmic staining of tumor cells. Synaptophysin: clone 27G12

Synaptophysin

Antigen Background
Synaptophysin is an integral membrane glycoprotein with a molecular weight of 38 kD. It is reported to occur in presynaptic vesicles of neurons in brain, spinal cord, retina, in similar vesicles of the adrenal medulla as well as in neuromuscular junctions.
Synaptophysin may be involved in synaptic vesicle formation and exocytosis. Synaptophysin is reported to be expressed in a wide spectrum of neuroendocrine tumors including neuroblastomas, ganglioneuroblastomas, phaeochromocytomas, chromaffin and non-chromaffin paragangliomas.
Synaptophysin is also reported to be expressed in neuroendocrine tumors of epithelial type including pituitary adenomas, islet cell tumors, medullary carcinomas of thyroid, parathyroid adenomas, carcinoids of the bronchopulmonary and gastrointestinal tracts, neuroendocrine carcinomas of the bronchopulmonary and gastrointestinal tract and neuroendocrine carcinomas of the skin.

Disclaimer
Synaptophysin is recommended for the detection of specific antigens of interest in normal and neoplastic tissues, as an adjunct to conventional histopathology using non-immunologic histochemical stains.

Products

Products

SYNAP-299-L-CE
1ml NCL-L-SYNAP-299
PA0299
7ml Synaptoph Bond RTU Primary

Downloads

Downloads

SYNAP-299-L-CE

PA0299

Recently Viewed