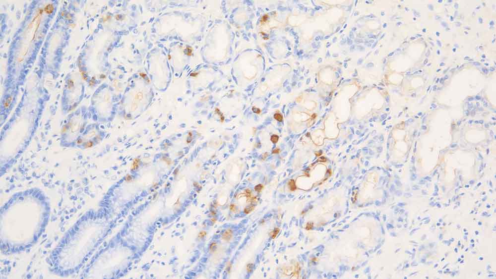
Antigen Background
Gastrin, a polypeptide hormone, occurs naturally in three forms: gastrin-14, gastrin-17 and gastrin-34. Both primary and secondary G cell hyperplasia are reported to be characterized by clustering of the immunoreactive cells which sometimes project buds from the mucous glands.
Disclaimer
Gastrin is recommended for the detection of specific antigens of interest in normal and neoplastic tissues, as an adjunct to conventional histopathology using non-immunologic histochemical stains.