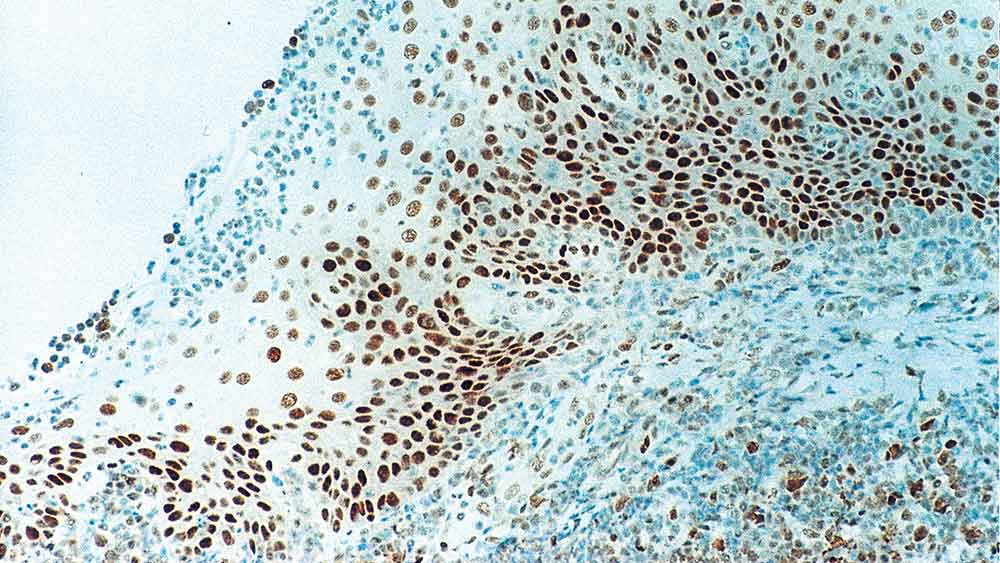
Human tonsil: immunohistochemical staining for Retinoblastoma Gene Protein. Note intense nuclear staining of epithelial cells. Retinoblastoma Gene Protein: clone 13A10

Retinoblastoma Gene Protein

Antigen Background

Retinoblastoma (Rb) is a rare tumor of the retina associated with mutations of chromosome 13. The nuclear phosphoprotein encoded by the Rb tumor suppressor gene is present in many cells and may indirectly regulate cell growth by activating the transcription factor ATF-2. Activation of ATF-2 initiates expression of TGF-beta2, which in turn inhibits transcription of genes affecting cell growth. Bilateral mutation of the Rb gene may potentially play a role in the development of a number of malignant tumors.

Product Specific Information
NCL-L-RB-358 was raised to the N-terminal region of the Rb gene protein.


Disclaimer
Retinoblastoma Gene Protein is recommended for the detection of specific antigens of interest in normal and neoplastic tissues, as an adjunct to conventional histopathology using non-immunologic histochemical stains.

Products

Products

RB-358-L
1ml NCL-L-RB-358

Downloads

Downloads

RB-358-L

Recently Viewed