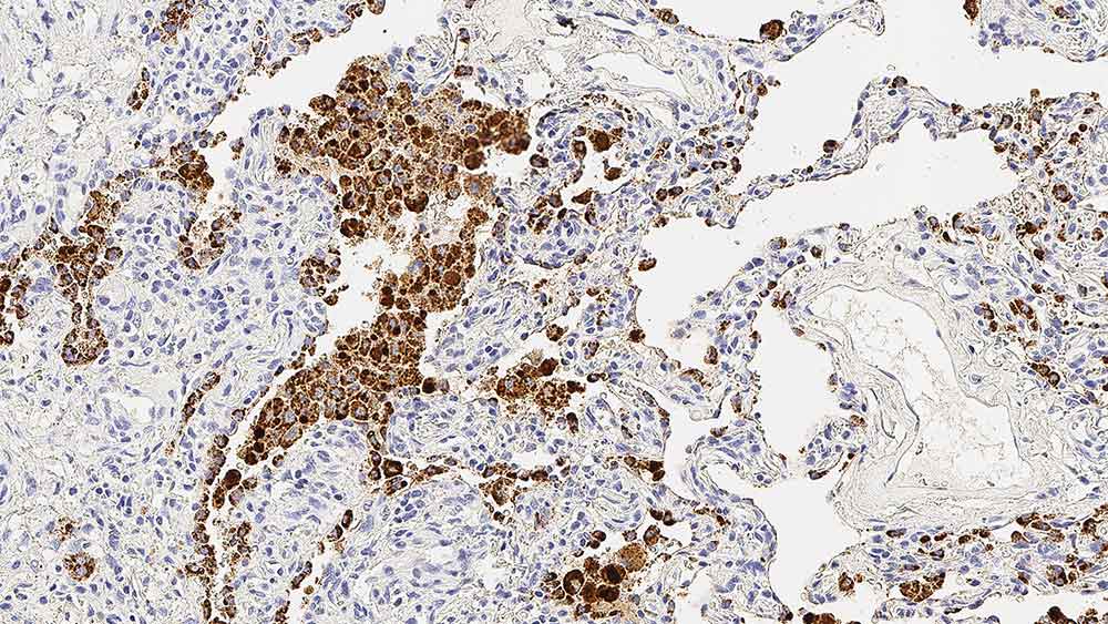
Human lung: immunohistochemical staining for Napsin A. Note cytoplasmic staining of pneumocytes and alveolar macrophages. Napsin A: clone IP64

Napsin A

Antigen Background

Napsin A has a specific function in normal alveolar epithelium and is proposed to play a role in the proteolytic processing of surfactant precursors.

Napsin A is reported to be predominantly expressed in lamellar bodies of type II pneumocytes, secondary lysosomes of alveolar macrophages, respiratory epithelium of terminal and respiratory bronchioles, plasma cells, within a subset of lymphocytes in normal lung, as well as in epithelial cells of renal tubules in normal kidney and is weakly expressed in normal spleen.

Studies have reported that Napsin A is expressed in 90% of primary lung adenocarcinomas.


Disclaimer

Napsin A is recommended for the detection of specific antigens of interest in normal and neoplastic tissues, as an adjunct to conventional histopathology using non-immunologic histochemical stains.

Products

Products

NAPSINA-L-CE
1ml NCL-L-Napsin A
PA0064
7ml Napsin A (IP64) Bond RTU Primary
PA0064-CN
7mL Napsin A (IP64) BOND RTU (China)

Downloads

Downloads

NAPSINA-L-CE

PA0064

PA0064-CN

SDS

Recently Viewed