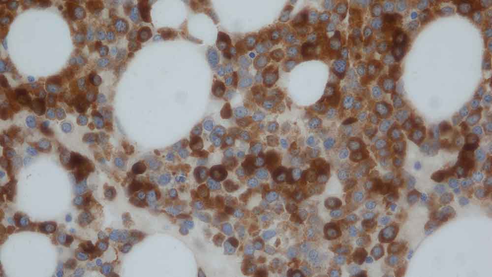
Bone marrow: immunohistochemical staining of myeloid cells using Lysozyme: Polyclonal

Lysozyme (Muramidase)

Antigen Background
Intracellular muramidase, also known as lysozyme, has been reported to be expressed in myeloid and monocytic cells, in leukocytes and in myeloproliferative disorders. Muramidase is also reported to be expressed in poorly differentiated leukemic monoblasts.

Disclaimer
Lysozyme (Muramidase) is recommended for the detection of specific antigens of interest in normal and neoplastic tissues, as an adjunct to conventional histopathology using non-immunologic histochemical stains.

Products

Products

PA0391
7ml Muramidase Bond RTU Primar
PA0391-CN
7mL Muramidase BOND RTU (China)

Downloads

Downloads

PA0391

PA0391-CN

Recently Viewed