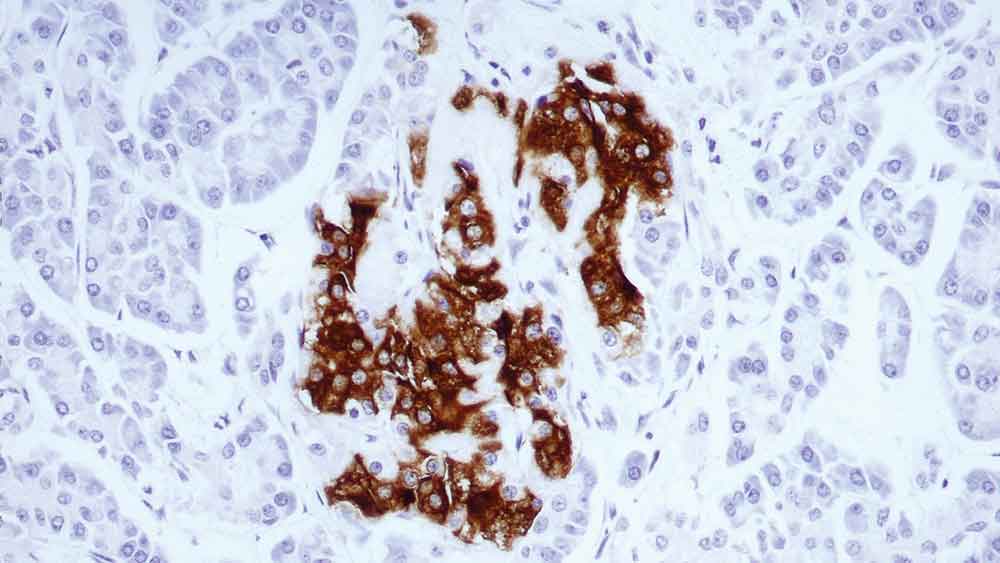
Human pancreas: immunohistochemical staining for insulin-containing cells. Note intense cytoplasmic staining. Insulin: clone 2D11-H5

Insulin

Antigen Background

Insulin is a hormone secreted by the beta cells of the islets of Langerhans in the pancreas. It promotes glycogen storage, formation of triglycerides, and synthesis of protein and nucleic acids. Reports of immunocytochemical investigation reveal the presence of insulin in the cytoplasm of certain islet tumors. However, in some instances insulin-positive granules are sparse and form a margin against the cell membrane.

Disclaimer

Insulin is recommended for the detection of specific antigens of interest in normal and neoplastic tissues, as an adjunct to conventional histopathology using non-immunologic histochemical stains.

Products

Products

PA0620
7ml Insulin Bond RTU Primary
PA0620-CN
7mL Insulin BOND RTU (China)

Downloads

Downloads

PA0620

PA0620-CN

SDS

Recently Viewed