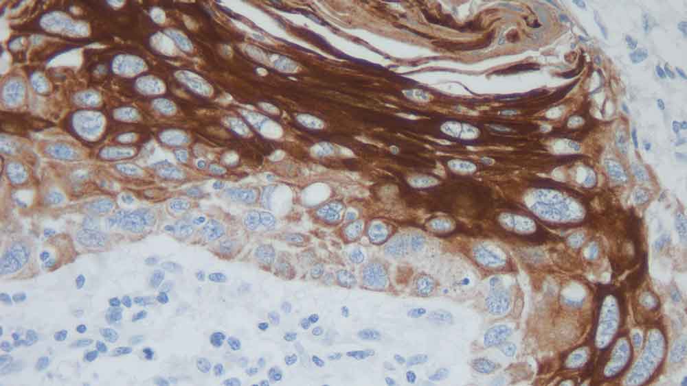
Human squamous cell carcinoma, floor of the mouth: immunohistochemical staining for Cytokeratin 17. Note cytoplasmic staining of malignant cells. Cytokeratin 17: clone E3

Cytokeratin 17

Antigen Background

In normal tissues cytokeratin 17 is reported to be expressed in basal cells of complex epithelia, for example, basal cells of pseudostratified epithelium in the trachea, larynx, bronchi, myoepithelial cells in salivary glands and sweat glands. In neoplastic tissue, cytokeratin 17 is reported to be expressed in squamous cell carcinomas of the lung, cervix and oral cavity.

Product Specific Information

CK17 reacts with the human cytokeratin intermediate filament protein (46 kD) identified as cytokeratin 17.

Disclaimer

Cytokeratin 17 is recommended for the detection of specific antigens of interest in normal and neoplastic tissues, as an adjunct to conventional histopathology using non-immunologic histochemical stains.

Products

Products

CK17-L-CE
1ml NCL-L-CK17
PA0114
7ml Cytokeratin 17 Bond RTU Primary
PA0114-CN
7mL Cytokeratin 17 BOND RTU (China)

Downloads

Downloads

CK17-L-CE

PA0114

PA0114-CN

Recently Viewed