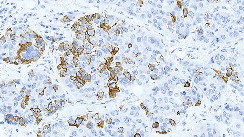
Invasive breast cancer: immunohistochemical staining for the Cytokeratin 14. Note the intense, clean staining of a proportion of tumor cells. Cytokeratin 14: clone LL002

Cytokeratin 14

Antigen Background

Cytokeratins 14 and 5 are useful to distinguish stratified epithelial cell types from simple epithelial cell types. Cytokeratin 14 has been reported to be expressed in neoplasms of squamous cell origin.

Product Specific Information

Clone LL002 reacts with the human cytokeratin intermediate filament protein (50 kD) identified as cytokeratin 14.

Disclaimer

Cytokeratin 14 is recommended for the detection of specific antigens of interest in normal and neoplastic tissues, as an adjunct to conventional histopathology using non-immunologic histochemical stains.

Products

Products

LL002-L-CE
1ml NCL-L-LL002
PA0074-CN
7mL Cytokeratin 14 BOND RTU (China)

Downloads

Downloads

LL002-L-CE

PA0074-CN

Recently Viewed