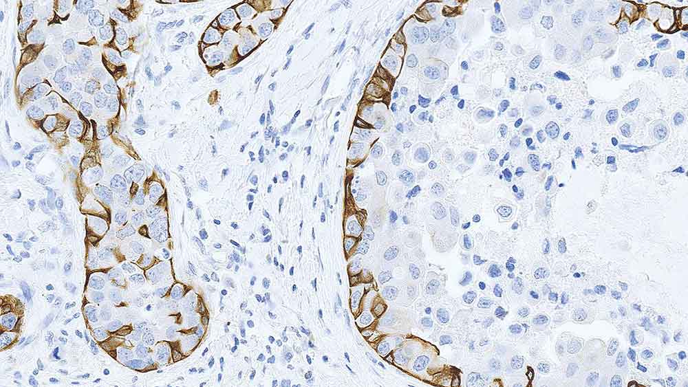
Human bowel: immunohistochemical staining for CD66e. Note cytoplasmic staining of epithelial cells. CD66e: clone 12-140-10

Carcinoembryonic Antigen (CD66e)

Antigen Background

Carcinoembryonic antigen (CEA) is a heterogeneous cell surface glycoprotein produced by cells of fetal colon. Low levels are also found on normal mucosal epithelia of the adult colon and a variety of other normal tissues. CEA is encoded by the CEA gene, which is located on chromosome 19. It is a member of the CEA gene family, which in turn is a subfamily of the immunoglobulin superfamily. Cell adhesion properties are now well recognized for CEA. It is believed that the expression of this glycoprotein in conjunction with other known adhesion molecules will influence the cell-cell interaction.

Disclaimer

Carcinoembryonic Antigen (CD66e) is recommended for the detection of specific antigens of interest in normal and neoplastic tissues, as an adjunct to conventional histopathology using non-immunologic histochemical stains. 

Products

Products

CEA-609-L-CE
1ml NCL-L-CEA-609
PA0848
7ml CEA (CD66e) (COL-1) Bond RTU Primary
PA0848-CN
7mL CEA (CD66e) (COL-1) BOND RTU (China)

Downloads

Downloads

CEA-609-L-CE

PA0848

PA0848-CN

Recently Viewed