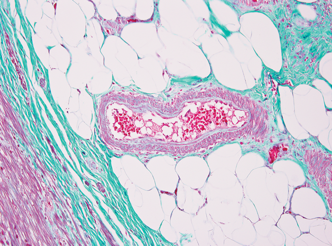
Gomori's Trichome Special Stain Kit (Green collagen)

Trichrome stains are used to stain and identify muscle fibers, collagen and nuclei.

They can be used to contrast skeletal, cardiac or smooth muscle.

The Gomori Trichrome is a simplification of the more elaborate stains and combines the plasma stain (chromotrope 2R) and connective tissue with Gomori’s Green to provide a brilliant contrasting stain.

Products

Products

38016SS1C
WEIGERTS HEMATOXYLIN (SOLUTION A) 250ML
38016SS1D
WEIGERTS HEMATOXYLIN (SOLUTION B) 250ML

Downloads

Downloads

38016SS1C

38016SS1D

Recently Viewed