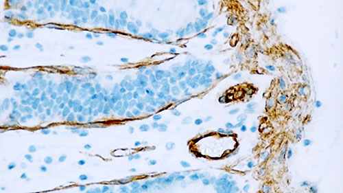
Normal human colon: immunohistochemical staining for Caveolin-1. Note cytoplasmic staining of smooth muscle and endothelium. Caveolin-1: clone 4D6

Caveolin-1

Antigen Background

Caveolin-1 is a major structural component of caveolae, which are vesicular invaginations present on the plasma membrane of different cell types. It plays a regulatory role in several signaling pathways and is reported to be most abundantly expressed in terminally differentiated mesenchymal cells such as smooth muscle cells, adipocytes and endothelial cells. High levels are also reported in fibroblasts where a fine granular membranous and diffuse cytoplasmic staining pattern is described.

Products

Products

CAVEOLIN-1-L
1ml NCL-L-Caveolin-1

Downloads

Downloads

CAVEOLIN-1-L

Recently Viewed