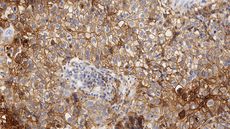
Antigen Background Programmed death-ligand 1 (PD-L1), CD274 or B7 Homolog 1(B7-H1) is a protein encoded by the CD274 gene. When bound to its ligands, PD-1 and B7.1, it plays an immunosuppressive role by inhibiting T-cell activity. Overexpression of PD-L1 by cancer cells may enable them to evade the host immune response, conferring a growth advantage to such tumors. PD-L1 expression levels detected by immunohistochemistry can therefore be of prognostic value in some types of cancer.
PD-L1 is recommended for the detection of specific antigens of interest in normal and neoplastic tissues, as an adjunct to conventional histopathology using nonimmunologic histochemical stains.
Disclaimer PD-L1 is recommended for the detection of specific antigens of interest in normal and neoplastic tissues, as an adjunct to conventional histopathology using non-immunologic histochemical stains.
Log in or add to cartto view the price of this item. or REQUEST a bulk quote.
Please be advised we have recently updated our product codes for many Advanced Staining Reagents. We ask that you please update your records at this time.
Due to manufacturing & supply chain issues, this product is currently unavailable. You may place your order and it will be fulfilled when the product is back in stock. For more help, please reach out to customer service at +1 844 534 2262 or nonurgentcs@leicabiosystems.com
Product is limited in stock
Product availability is limited, but products are in continuous production. Your order will be processed as normal and may take additional days to ship.
Log in or add to cartto view the price of this item. or REQUEST a bulk quote.