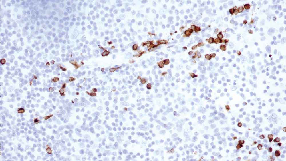
Human tonsil: immunohistochemical staining for Granzyme B: clone 11F1

Granzyme B

Antigen Background

Granzymes are neutral serine proteases which are stored in specialized lytic granules of cytotoxic T lymphocytes (CTL) and in natural killer (NK) cells. These CTL and NK cells are heavily involved in the elimination of neoplastic and virally infected cells. Secretory granules containing perforin and granzymes are instrumental in undertaking cytolytic activity. Granzyme B is understood to enter a target cell through a perforin pore-formed channel to induce DNA fragmentation and apoptosis. Granzyme B has also been described in neoplastic CTL and NK cells.

Disclaimer

Granzyme B is recommended for the detection of specific antigens of interest in normal and neoplastic tissues, as an adjunct to conventional histopathology using non-immunologic histochemical stains.

Log in or add to cart
to view the price of this item.
or REQUEST a bulk quote.
Please be advised we have recently updated our product codes for many Advanced Staining Reagents. We ask that you please update your records at this time.

Please see here for more information

Products

Products

PA0291-U
7ml Granzyme B Bond RTU Prim
In Stock
Ships via Overnight
Log in or add to cart
to view the price of this item.
or REQUEST a bulk quote.
GRAN-B-L-U
1ml NCL-L-GRAN-B
In Stock
Ships via Overnight
Log in or add to cart
to view the price of this item.
or REQUEST a bulk quote.

Downloads

Downloads

PA0291-U

GRAN-B-L-U

Recently Viewed