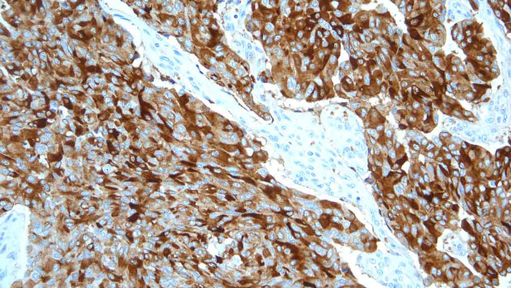
Human squamous cell carcinoma, floor of the mouth: immunohistochemical staining for Cytokeratin 17. Note cytoplasmic staining of malignant cells. Cytokeratin 17: clone E3

Cytokeratin 17

Antigen Background

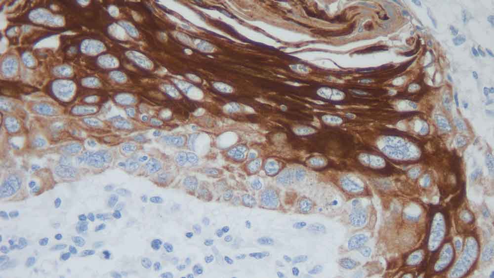
In normal tissues cytokeratin 17 is reported to be expressed in basal cells of complex epithelia, for example, basal cells of pseudostratified epithelium in the trachea, larynx, bronchi, myoepithelial cells in salivary glands and sweat glands. In neoplastic tissue, cytokeratin 17 is reported to be expressed in squamous cell carcinomas of the lung, cervix and oral cavity.

Product Specific Information

CK17 reacts with the human cytokeratin intermediate filament protein (46 kD) identified as cytokeratin 17.

Disclaimer

Cytokeratin 17 is recommended for the detection of specific antigens of interest in normal and neoplastic tissues, as an adjunct to conventional histopathology using non-immunologic histochemical stains.

Log in or add to cart
to view the price of this item.
or REQUEST a bulk quote.
Please be advised we have recently updated our product codes for many Advanced Staining Reagents. We ask that you please update your records at this time.

Please see here for more information

Products

Products

CK17-L-U
1ml NCL-L-CK17
Limited Stock (More Details)
Ships via Overnight
Log in or add to cart
to view the price of this item.
or REQUEST a bulk quote.
PA0114-U
7ml Cytokeratin 17 Bond RTU Primary
In Stock
Ships via Overnight
Log in or add to cart
to view the price of this item.
or REQUEST a bulk quote.

Downloads

Downloads

CK17-L-U

PA0114-U

Recently Viewed