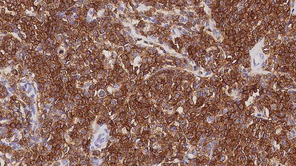
Human diffuse large B cell lymphoma: immunohistochemical staining for CD79a. Note the membrane staining of tumor cells. CD79a: clone JCB117

CD79a

Antigen Background

The CD79 complex is a disulfide-linked heterodimer which is non-covalently associated with membrane-bound immunoglobulins on B cells. This complex of polypeptides and immunoglobulin constitute the B cell antigen receptor. The two components of this complex are designated CD79a and CD79b. The CD79a antigen is reported to first appear at the pre-B cell stage, early in maturation, and persist until the plasma cell stage where it is found as an intracellular component. It is not present in myeloid or T cell lines.

Disclaimer

CD79a is recommended for the detection of specific antigens of interest in normal and neoplastic tissues, as an adjunct to conventional histopathology using non-immunologic histochemical stains.

Log in or add to cart
to view the price of this item.
or REQUEST a bulk quote.
Please be advised we have recently updated our product codes for many Advanced Staining Reagents. We ask that you please update your records at this time.

Please see here for more information

Products

Products

CD79A-599-L-U
1ml NCL-L-CD79a-599
Limited Stock (More Details)
Ships via Overnight
Log in or add to cart
to view the price of this item.
or REQUEST a bulk quote.
PA0599-U
7ml CD79a (JCB117) Bond RTU Primary
In Stock
Ships via Overnight
Log in or add to cart
to view the price of this item.
or REQUEST a bulk quote.

Downloads

Downloads

CD79A-599-L-U

PA0599-U

Recently Viewed