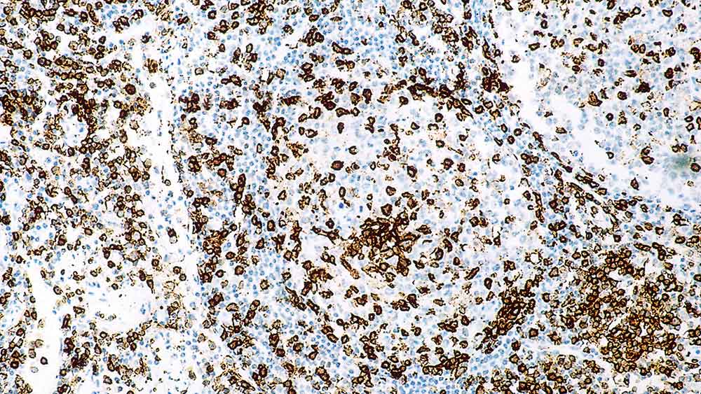
Human tonsil: immunohistochemical staining with CD45RO: clone UCHL1

CD45RO

Antigen Background

The CD45RO molecule, a 180 kD isoform of CD45, is reported to be expressed on 48% of peripheral blood T lymphocytes, 37% of CD4 positive lymphocytes, 80% of thymocytes and on the majority of T cell malignancies. Monocytes and granulocytes show surface expression of the antigen whereas tissue macrophages exhibit cytoplasmic expression.

Disclaimer

CD45RO is recommended for the detection of specific antigens of interest in normal and neoplastic tissues, as an adjunct to conventional histopathology using non-immunologic histochemical stains.

Log in or add to cart
to view the price of this item.
or REQUEST a bulk quote.

Products

Products

UCHL1-L
1ml NCL-L-UCHL1
Limited Stock (More Details)
Ships via Overnight
Log in or add to cart
to view the price of this item.
or REQUEST a bulk quote.
PA0146
7ml CD45RO Bond RTU Primary
In Stock
Ships via Overnight
Log in or add to cart
to view the price of this item.
or REQUEST a bulk quote.

Downloads

Downloads

UCHL1-L

PA0146

Recently Viewed