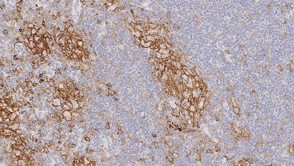
Human lymph node, anaplastic lymphoma: immunohistochemical staining for CD33. Note membrane staining of neoplastic cells. CD33: clone PWS44

CD33

Antigen Background

CD33 antigen is reported to appear on myelomonocytic precursor cells after CD34 antigen expression. It then continues to be expressed on both the myeloid and monocyte lineages, although it is reported to be absent on granulocytes. It has been reported that expression of CD33 is restricted to monocytes, premyelocytes, myeloid blasts, some acute undifferentiated leukemias and acute lymphoblastic leukemias.

Disclaimer

CD33 is recommended for the detection of specific antigens of interest in normal and neoplastic tissues, as an adjunct to conventional histopathology using non-immunologic histochemical stains.

Log in or add to cart
to view the price of this item.
or REQUEST a bulk quote.
Please be advised we have recently updated our product codes for many Advanced Staining Reagents. We ask that you please update your records at this time.

Please see here for more information

Products

Products

PA0555-U
7ml CD33 Bond RTU Primary
In Stock
Ships via Overnight
Log in or add to cart
to view the price of this item.
or REQUEST a bulk quote.
CD33-L-U
1ml NCL-L-CD33
Limited Stock (More Details)
Ships via Overnight
Log in or add to cart
to view the price of this item.
or REQUEST a bulk quote.

Downloads

Downloads

PA0555-U

CD33-L-U

Recently Viewed