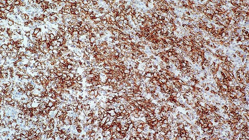
Human bowel: immunohistochemical staining for CD66e. Note cytoplasmic staining of epithelial cells. CD66e: clone 12-140-10

Carcinoembryonic Antigen (CD66e)

Antigen Background

Carcinoembryonic antigen (CEA) is a heterogeneous cell surface glycoprotein produced by cells of fetal colon. Low levels are also found on normal mucosal epithelia of the adult colon and a variety of other normal tissues. CEA is encoded by the CEA gene, which is located on chromosome 19. It is a member of the CEA gene family, which in turn is a subfamily of the immunoglobulin superfamily. Cell adhesion properties are now well recognized for CEA. It is believed that the expression of this glycoprotein in conjunction with other known adhesion molecules will influence the cell-cell interaction.

Disclaimer

Carcinoembryonic Antigen (CD66e) is recommended for the detection of specific antigens of interest in normal and neoplastic tissues, as an adjunct to conventional histopathology using non-immunologic histochemical stains. 

Log in or add to cart
to view the price of this item.
or REQUEST a bulk quote.
Please be advised we have recently updated our product codes for many Advanced Staining Reagents. We ask that you please update your records at this time.

Please see here for more information

Products

Products

CEA-609-L-U
1ml NCL-L-CEA-609
Limited Stock (More Details)
Ships via Overnight
Log in or add to cart
to view the price of this item.
or REQUEST a bulk quote.
PA0848-U
7ml CEA (CD66e) (COL-1) Bond RTU Primary
In Stock
Ships via Overnight
Log in or add to cart
to view the price of this item.
or REQUEST a bulk quote.

Downloads

Downloads

CEA-609-L-U

PA0848-U

Recently Viewed