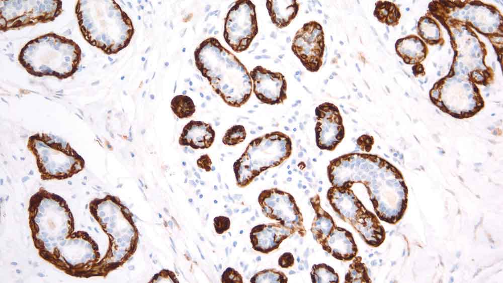
Human prostate: immunohistochemical staining for Calponin (Basic). Note staining of basal cells. Calponin (Basic): clone 26A11

Calponin (Basic)

Antigen Background
Basic calponin (calponin-h1) is a 34 kD protein which exhibits a high degree of homology to acidic and neutral calponins at its N-terminal region. It is an actin, tropomyosin and calmodulin binding protein thought to be involved in the regulation of smooth muscle contraction. The expression of basic calponin is reported to be restricted to smooth muscle cells and is a marker of the differentiated contractile phenotype of developing smooth muscle. Vascular smooth muscle cells convert to a synthetic dedifferentiated phenotype when this protein is lost and this is a key stage in both atherosclerosis and restenosis of coronary arteries after balloon angioplasty. It is thought that basic calponin exerts its effect via the cortical actin cytoskeleton, and therefore influences proliferation, the transformed phenotype and the metastatic potential of tumor cells. Basic calponin mRNA is expressed in smooth muscle of prostate, bowel and aorta, whereas neutral and acidic calponin mRNAs are expressed in non-smooth muscle tissue such as heart, placenta, lung, kidney, pancreas, spleen, testis and ovary as well as in smooth muscle-containing tissues.

Disclaimer
Calponin (Basic) is recommended for the detection of specific antigens of interest in normal and neoplastic tissues, as an adjunct to conventional histopathology using non-immunologic histochemical stains.

Log in or add to cart
to view the price of this item.
or REQUEST a bulk quote.
Please be advised we have recently updated our product codes for many Advanced Staining Reagents. We ask that you please update your records at this time.

Please see here for more information

Products

Products

PA0416-U
7ml Calponin B Bond RTU Primar
Limited Stock (More Details)
Ships via Overnight
Log in or add to cart
to view the price of this item.
or REQUEST a bulk quote.

Downloads

Downloads

PA0416-U

Recently Viewed