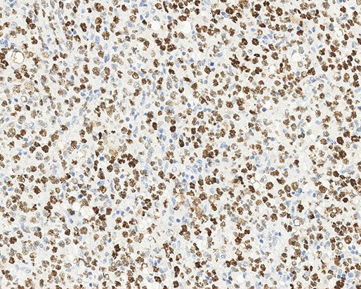
Human diffuse large B cell lymphoma: The majority of neoplastic cells show a moderate to strong nuclear staining reaction. Bcl-6: clone LN22

Bcl-6 Oncoprotein

Antigen Background

Bcl-6 is a proto-oncogene that encodes a Kruppel-type zinc-finger protein of 95 kD and shares homology with other transcription factors. Bcl-6 protein is mainly expressed in normal germinal center B cells and related lymphomas. It has been shown that the Bcl-6 proto-oncogene is involved in chromosome rearrangements at 3q27 in non-Hodgkin's lymphomas and Bcl-6 rearrangements have also been detected in 33-45% of diffuse large B cell lymphomas. Immunohistochemistry has been reported to show the Bcl-6 gene product to be detectable in follicular lymphomas, diffuse large B cell lymphomas, Burkitt's lymphomas and in nodular, lymphocyte predominant Hodgkin's disease.

Disclaimer

Bcl-6 Oncoprotein is recommended for the detection of specific antigens of interest in normal and neoplastic tissues, as an adjunct to conventional histopathology using non-immunologic histochemical stains.
Log in or add to cart
to view the price of this item.
or REQUEST a bulk quote.
Please be advised we have recently updated our product codes for many Advanced Staining Reagents. We ask that you please update your records at this time.

Please see here for more information

Products

Products

BCL-6-564-L-U
1ml NCL-L-Bcl-6-564
In Stock
Ships via Overnight
Log in or add to cart
to view the price of this item.
or REQUEST a bulk quote.
PA0204-U
7ml Bcl-6 Bond RTU Primary
Limited Stock (More Details)
Ships via Overnight
Log in or add to cart
to view the price of this item.
or REQUEST a bulk quote.

Downloads

Downloads

BCL-6-564-L-U

PA0204-U

Recently Viewed