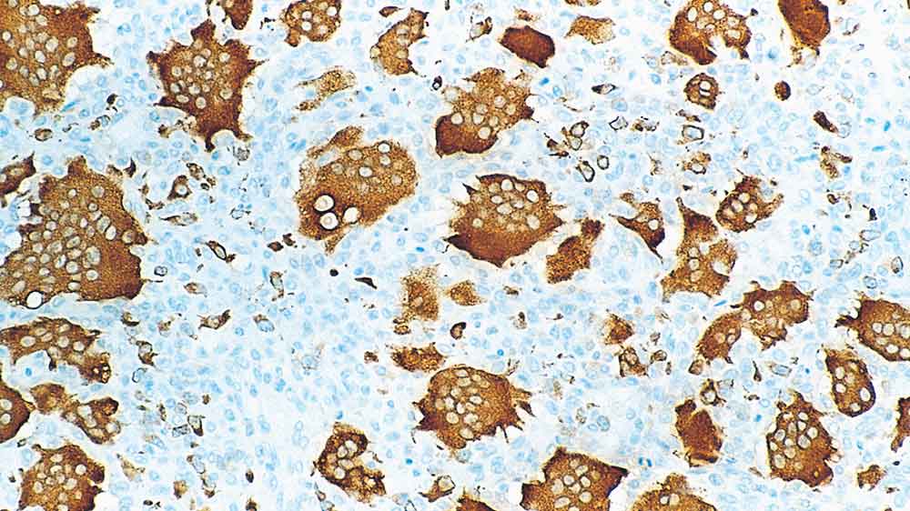
Human osteoclastoma: immunohistochemical staining for Tartrate-Resistant Acid Phosphatase. Note intense cytoplasmic staining of osteoclasts. Tartrate-Resistant Acid Phosphatase (TRAP): clone 26E5

Tartrate-Resistant Acid Phosphatase (TRAP)

Antigen Background
Tartrate-resistant acid phosphatase (TRAP) is a basic, iron-binding protein with high activity towards phosphoproteins, ATP and 4-nitrophenyl phosphate. This isoenzyme has been reported through different applications to be expressed in human alveolar macrophages, osteoclasts, spleen and liver. Expression of TRAP is reported to be increased in the spleen and monocytes of individuals with Gaucher's disease, Hodgkin's disease and the sera of individuals undergoing active bone turnover. Elevated levels are also reported to be associated with various B-cell and T-cell leukemias and lymphomas, decidual cells, syncytiotrophoblasts and some macrophages distributed throughout maternal and embryonic tissues.


Disclaimer

Tartrate-Resistant Acid Phosphatase (TRAP) is recommended for the detection of specific antigens of interest in normal and neoplastic tissues, as an adjunct to conventional histopathology using non-immunologic histochemical stains.

Products

Products

PA0093
7ml TRAP Bond RTU Primary

Downloads

Downloads

PA0093

Recently Viewed