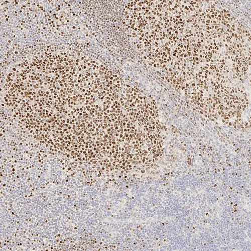
Human tonsil: immunohistochemical staining for Oct-2. Note strong staining of germinal centre B-cells. Oct-2: clone Oct-207

Oct-2

Antigen Background
Oct-2 is a transcription factor belonging to the POU homeo domain family that binds to the Ig gene octamer sites regulating B-cell-specific genes. It is dependent on the activity of B cell restricted coactivators such as BOB.1/OBF.1. Oct-2 protein expression is not restricted to B cells, although expression levels are much higher in these cells. Reports indicate that germinal center B cells show higher expression for Oct-2 and BOB.1/OBF.1. In addition, Oct-2 expression is reported to be significantly greater in germinal center derived lymphomas, although other B cell lymphomas also display high levels of expression. Reed-Sternberg (RS) cells represent the malignant cells in classical Hodgkin's disease and are derived from germinal center B cells. In a number of these cases, cells do not express immunoglobulin due to the presence of crippling mutations within the Ig genes. As Ig gene expression in B cells also requires an interaction between octamer sites and the transactivating factors Oct-2 and BOB.1, the absence of both Oct-2 and BOB.1 expression represents a novel mechanism for immunoglobulin gene deregulation in RS cells.

Disclaimer
Oct-2 is recommended for the detection of specific antigens of interest in normal and neoplastic tissue, as an adjunct to conventional histopathology using non-immunologic histochemical stains.

Products

Products

PA0532
7ml Oct-2 Bond RTU Primary

Downloads

Downloads

PA0532

Recently Viewed