Antigen Background
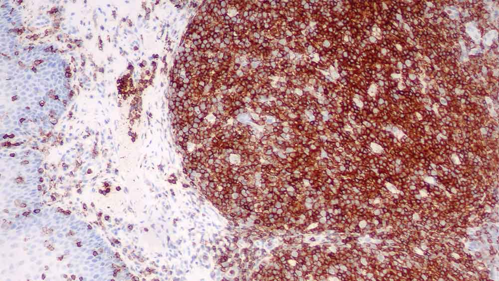
The CD45 antigen (leukocyte common antigen) is a family of five or more high molecular weight glycoproteins present on the surface of the majority of the human leukocytes (including lymphocytes, monocytes and eosinophils) but absent from erythrocytes and platelets. Various isoforms of CD45 are generated by alternative splicing of three exons. Expression of CD45 is necessary for signaling through the T cell receptor.
Disclaimer
CD45 is recommended for the detection of specific antigens of interest in normal and neoplastic tissues, as an adjunct to conventional histopathology using non-immunologic histochemical stains.