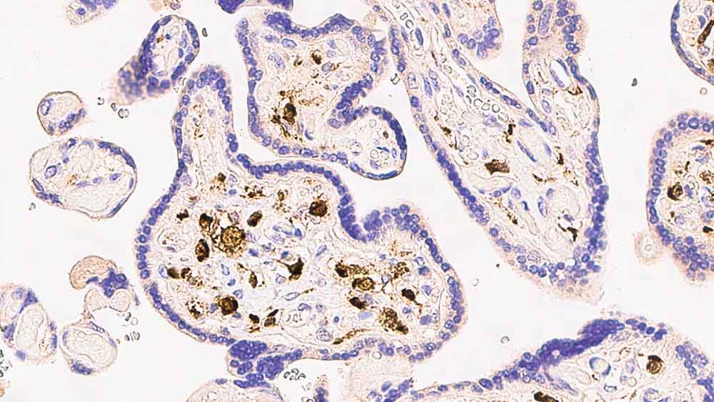
Human placenta: immunohistochemical staining of Factor XIIIa localized in the Hofbauer cells of the placental villi. Factor XIIIa (Blood Coagulation Factor XIIIa): clone E980.1

Factor XIIIa

Antigen Background
Factor XIIIa, also known as fibrinoligase and fibrin-stabilizing factor, is the last enzyme generated in the blood coagulation cascade. It is a Ca2+-dependent transglutaminase or transamidating enzyme which forms intermolecular gamma-glutamyl-epsilon-lysine crosslinks between fibrin molecules resulting in the mechanical stabilization of the fibrin clot and its resistance to proteolysis. Factor XIIIa may also function to stabilize cell surface molecules and membranes. Ca2+-dependent trans-glutaminases with thiol active centers are widespread in animal tissues and have been associated with cell proliferation, embryonic development and growth through the proliferation of mammary stroma and epithelial elements. Normal mammary stroma, like most collagenous connective tissue, contains resident populations of CD34-positive dendritic interstitial cells and scattered Factor XIIIa positive collagen-associated dendrophages. Factor XIIIa has been examined to determine its expression in normal and inflamed skin. Factor XIIIa positive cells in human skin represent a specific population of bone marrow dermal dendritic cells, distinct from Langerhans cells which share some features common to mononuclear phagocytes. In benign skin conditions such as inflammatory dermatoses, for example, atopic eczema and psoriasis, an increased number of factor XIIIa positive cells in the upper dermis, closely associated with lymphocytes, has been described.

Disclaimer
Factor XIIIa (Blood Coagulation Factor XIIIa) is recommended for the detection of specific antigens of interest in normal and neoplastic tissues, as an adjunct to conventional histopathology using non-immunologic histochemical stains.

Products

Products

PA0449
7ml Factor XIIIa Bond RTU Prim

Downloads

Downloads

PA0449

Recently Viewed