This Website requires your browser to be JavaScript enabled.
Please enable JavaScript and reload this page.
It appears that your browser has cookies disabled.
The website requires your browser to enable cookies in order to login.
Please enable cookies and reload this page.
Log In
Register for an account
Don't have a login? Register today to view list prices and apply for an account to purchase online!
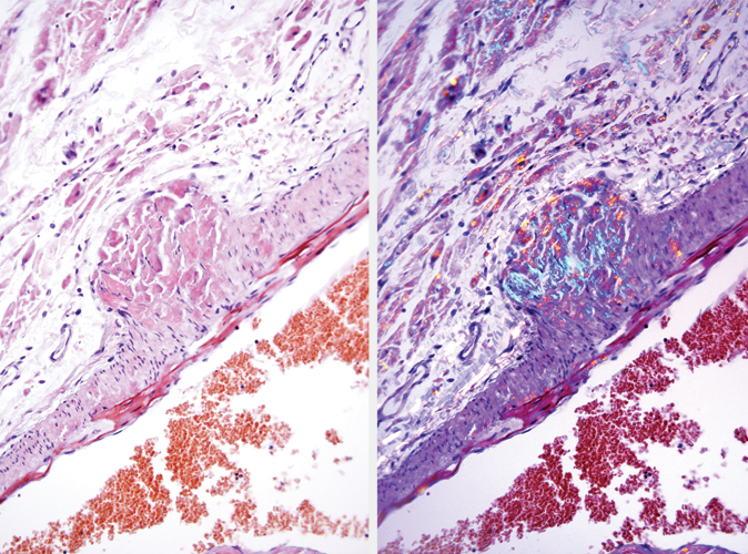
The Congo Red, Amyloid Stain Kit
Successfully added to cart
added to cart.
No item added to cart
The replacement product is no longer available, no item has been added to cart.
If you have any questions, contact us at 1.844.534.2262