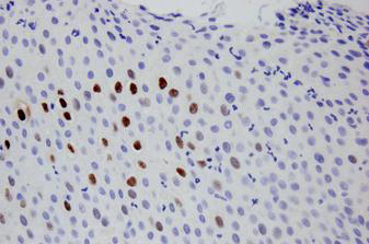
Cervical tissue (CIN1): in situ hybridization for HPV, subtype 6 and 11 DNA using HPV (6,11) Probe, Anti-Biotin Antibody, Stringency Wash and BOND Polymer Refine Detection.
Cervical tissue (CIN1): in situ hybridization for HPV, subtype 6 and 11 DNA using HPV (6,11) Probe, Anti-Biotin Antibody, Stringency Wash and BOND Polymer Refine Detection.
BOND HPV 6/11 Probe
BOND ISH probes are provided in a ready-to-use format and their use has been validated together with Leica Biosystems ancillaries and BOND Polymer Refine detection for quality you can depend on. Turnaround time is rapid – around 5 hours 10 minutes using the standard BOND protocol, enabling the rapid turnaround of results vs. typical overnight protocols or outsourced testing, for improved patient care.
HPV Probe (Subtypes 6,11) is used for the qualitative identification of the Human Papillomavirus (HPV) DNA in formalin-fixed, paraffin-embedded tissue by in situ hybridization (ISH) using the automated BOND system. This probe binds to HPV subtypes 6 and 11 and is biotin-conjugated.
There are over 100 known Human Papillomavirus types, but only about 40 are known to infect the anogenital epithelium. HPV is the most common sexually transmitted virus. HPV infections have been associated with a number of malignant and benign lesions, including genital warts, anogenital cancers and oral head and neck cancers. HPV subtypes have been associated with over 95% of cervical cancers. As a result, HPV subtypes are broadly classified as high or low risk, depending on the incidence they are associated with cervical malignant transformation (high risk) and benign lesion development (low risk).
There are 12 HPV subtypes classified as low risk, including 6 and 11, which have a low association with cervical cancer progression.
Due to manufacturing & supply chain issues, this product is currently unavailable. You may place your order and it will be fulfilled when the product is back in stock. For more help, please reach out to customer service at +1 844 534 2262 or nonurgentcs@leicabiosystems.com
Product is limited in stock
Product availability is limited, but products are in continuous production. Your order will be processed as normal and may take additional days to ship.