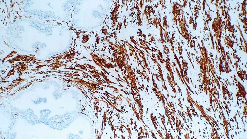
Human prostate: immunohistochemical staining for myosin heavy chain. Note intense staining of muscle fibers. Myosin Heavy Chain (smooth muscle): clone S131

Myosin Heavy Chain Antibodies

Antigen Background

Myosin is a contractile muscle specific protein composed of two heavy and four light chains. The myosin heavy chain has many isoforms which are specific for different muscles or fiber types, some of which are developmentally regulated. The range of myosin heavy chain antibodies may prove useful for investigating development of intrafusal and extrafusal muscle fibers and the course of muscle fiber regeneration. At the ultrastructural level, antibodies can reveal architectural details of the myofilament as well as the cytoplasmic and membrane sites of new myosin integration.

Disclaimer

Myosin Heavy Chain Antibodies are recommended for the detection of specific antigens of interest in normal and abnormal tissues, as an adjunct to conventional histopathology using non-immunologic histochemical stains.


or REQUEST a bulk quote.
We are currently updating the product codes for a number of our Advanced Staining reagents. From January 2023 you will begin to receive products with a –U, –A or –X suffix (e.g. PAxxxx-U).

Please see here for more information

Products

Products

PA0493-U
7ml Myosin HC Bond RTU Primary

or REQUEST a bulk quote.
MHCD
1ml NCL-MHCd

or REQUEST a bulk quote.
MHCF
1ml NCL-MHCf

or REQUEST a bulk quote.
MHCN
1ml NCL-MHCn

or REQUEST a bulk quote.
MHCS
1ml NCL-MHCs

or REQUEST a bulk quote.
PA0493
7ml Myosin HC Bond RTU Primary

or REQUEST a bulk quote.

Downloads

Downloads

PA0493-U

MHCD

MHCF

MHCN

MHCS

PA0493

Recently Viewed