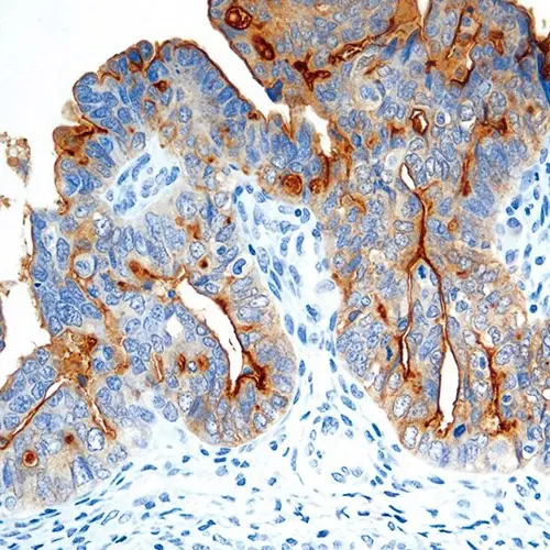
Ovarian tumor: immunohistochemical staining for Folate Receptor Alpha. Note intense cytoplasmic staining. Folate Receptor Alpha: clone BN3.2

Folate Receptor Alpha

Antigen Background
Folate is a basic component of cell metabolism and DNA synthesis and repair. It is involved in essential one-carbon transfer reactions and is a vitamin required by both normal and tumor cells. Folate entry into cells is facilitated via two different systems: the reduced folate carrier, which utilizes a bidirectional anion-exchange mechanism, and the folate receptor system. Folate Receptor Alpha is a membrane-bound member of the folate receptor family, facilitating folate transport via a mechanism termed potocytosis where the receptor is internalized and then recycled back to the cell membrane. Staining patterns are both membranous and cytoplasmic due to this mechanism. Members of the folate receptor family share highly conserved sequences in the open reading frames, but differ in amino acids in the 5' untranslated regions and as a consequence can differ in function and tissue expression. Folate receptor alpha expression is reported to be highly restricted in normal tissues and only selectively overexpressed in a limited number of epithelial malignancies.

Disclaimer
Folate Receptor Alpha is recommended for the detection of specific antigens of interest in normal and neoplastic tissues, as an adjunct to conventional histopathology using non-immunologic histochemical stains.


or REQUEST a bulk quote.

Products

Products

FRALPHA-L-CE
1ml NCL-L-FRalpha

or REQUEST a bulk quote.

Downloads

Downloads

FRALPHA-L-CE

Recently Viewed