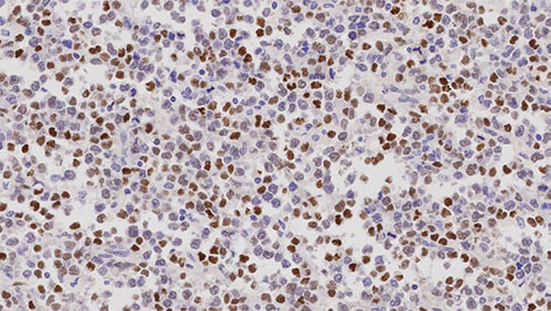
Human mantle cell lymphoma: nuclear staining of the malignant post-germinal B lymphocytes. Cyclin D1: clone EP12

Cyclin D1

Antigen Background

The D-type cyclins are a family of proteins which function primarily by regulating the activity of cyclin-dependent kinases in the G1 phase of the cell cycle. Cyclin D1, a protein of 36 kD, is also known as PRAD1 or bcl-1. Maximum expression of cyclin D1 occurs at a critical point in mid to late G1 phase of the cell cycle. The cyclin D1 gene, located on 11q13 has been reported to be overexpressed in mantle cell lymphomas due to the chromosomal translocation t(11;18).

Disclaimer

Cyclin D1 is recommended for the detection of specific antigens of interest in normal and neoplastic tissues, as an adjunct to conventional histopathology using non-immunologic histochemical stains.


or REQUEST a bulk quote.
We are currently updating the product codes for a number of our Advanced Staining reagents. From January 2023 you will begin to receive products with a –U, –A or –X suffix (e.g. PAxxxx-U).

Please see here for more information

Products

Products

CYCLIND1-GM-L-CE
1ml NCL-L-CYCLIND1-GM

or REQUEST a bulk quote.
PA0046
7ml Cyclin D1 (EP12) Bond RTU Primary

or REQUEST a bulk quote.
PA0046-U
7ml Cyclin D1 (EP12) Bond RTU Primary

or REQUEST a bulk quote.

Downloads

Downloads

CYCLIND1-GM-L-CE

PA0046

PA0046-U

Recently Viewed