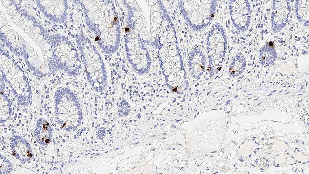
Human small bowel: immunohistochemical staining for Chromogranin A. Note cytoplasmic staining of neuroedocrine cells. Chromogranin A: clone 5H7

Chromogranin A

Antigen Background

Chromogranin A is a 68 kD acidic protein which is reported to be widely expressed in neural tissues and in secretory granules of human endocrine cells, for example, parathyroid gland, adrenal medulla, anterior pituitary gland, islet cells of the pancreas and C cells of the thyroid. Chromogranin A expression has been reported in neuroendocrine tumors such as pituitary adenomas, islet cell tumors, pheochromocytomas, medullary thyroid carcinomas, Merkel cell tumors and carcinoids.

Disclaimer

Chromogranin A is recommended for the detection of specific antigens of interest in normal and neoplastic tissues, as an adjunct to conventional histopathology using non-immunologic histochemical stains.


or REQUEST a bulk quote.
We are currently updating the product codes for a number of our Advanced Staining reagents. From January 2023 you will begin to receive products with a –U, –A or –X suffix (e.g. PAxxxx-U).

Please see here for more information

Products

Products

CHROM-430-L-CE
1ml NCL-L-CHROM-430

or REQUEST a bulk quote.
PA0515
7ml ChromograninA (5H7) Bond RTU Primary

or REQUEST a bulk quote.
PA0515-U
7ml ChromograninA (5H7) Bond RTU Primary

or REQUEST a bulk quote.

Downloads

Downloads

CHROM-430-L-CE

PA0515

PA0515-U

Recently Viewed