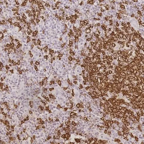
Follicular B cell lymphoma. immunohistochemistry staining for CD20. Note the strong membranous staining. CD20: Clone L26

CD20

Antigen Background
The CD20 antigen is a non-glycosylated phosphoprotein of approximately 33 kD which is expressed on normal and malignant human B cells and is thought to act as a receptor during B cell activation and differentiation. CD20 antigen has been reported to be expressed on normal B cells from peripheral blood, lymph node, spleen, tonsil, bone marrow, acute leukemias, and chronic lymphocytic leukemias.

Disclaimer
CD20 is recommended for the detection of specific antigens of interest in normal and neoplastic tissues, as an adjunct to conventional histopathology using non-immunologic histochemical stains.


or REQUEST a bulk quote.
We are currently updating the product codes for a number of our Advanced Staining reagents. From January 2023 you will begin to receive products with a –U, –A or –X suffix (e.g. PAxxxx-U).

Please see here for more information

Products

Products

CD20-L26-L-CE
1ml NCL-L-CD20-L26

or REQUEST a bulk quote.
PA0200
7ml CD20 (L26) Bond RTU Primary

or REQUEST a bulk quote.
PA0359
30ml CD20 (L26) Bond RTU Primary

or REQUEST a bulk quote.
PA0200-U
7ml CD20 (L26) Bond RTU Primary

or REQUEST a bulk quote.
PA0359-U
30ml CD20 (L26) Bond RTU Primary

or REQUEST a bulk quote.

Downloads

Downloads

CD20-L26-L-CE

PA0200

PA0359

PA0200-U

PA0359-U

Recently Viewed