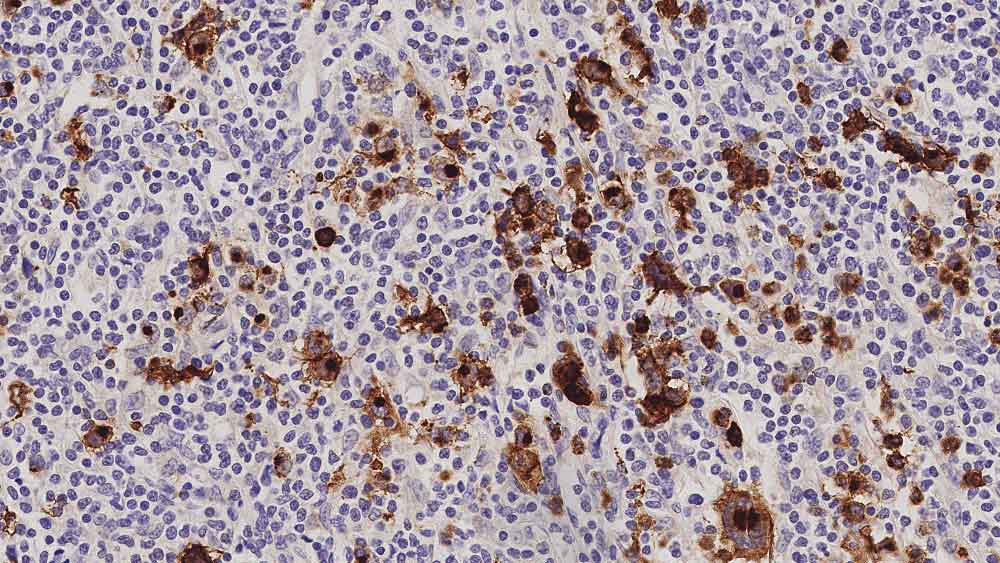
Hodgkin's disease, mixed cellularity: immunohistochemical staining for CD15. Note the mixed cellular membrane staining and characteristic staining of paranuclear hofs of Reed Sternberg cells. CD15: clone MMA

CD15

Antigen Background

CD15 antigen, also known as X-hapten, is reported to be expressed on 90% of circulating human granulocytes, 30-60% of circulating monocytes and is absent from normal lymphocytes. The CD15 antigen is also expressed on Reed-Sternberg cells of Hodgkin's disease and some leukemias.

Disclaimer

CD15 is recommended for the detection of specific antigens of interest in normal and neoplastic tissues, as an adjunct to conventional histopathology using non-immunologic histochemical stains.


or REQUEST a bulk quote.
We are currently updating the product codes for a number of our Advanced Staining reagents. From January 2023 you will begin to receive products with a –U, –A or –X suffix (e.g. PAxxxx-U).

Please see here for more information

Products

Products

CD15-605-L-CE
1ml NCL-L-CD15-605

or REQUEST a bulk quote.
PA0473
7ml CD15 (MMA) Bond RTU Primary

or REQUEST a bulk quote.
PA0473-U
7ml CD15 (MMA) Bond RTU Primary

or REQUEST a bulk quote.

Downloads

Downloads

CD15-605-L-CE

PA0473

PA0473-U

Recently Viewed