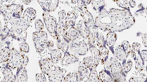
Human placenta: immunohistochemical staining for p57 protein. Note nuclear staining for cytotrophoblast and stromal cells of the villi. p57: clone 25B2

p57 Protein (Kip2)

Antigen Background
Cyclin-dependent kinases are positive regulators of cell proliferation. p57 protein acts as a tumor suppressor to counter this. It is closely related to other CDKIs such as p21 protein (CIP1) and p27 protein (Kip1) as they share a common structural N-terminal domain for binding to CDK/cyclin complexes and inhibiting their kinase activity. Human p57 protein is found on chromosome 11p15.5, a region which is reported to be a common site for loss of heterozygosity in certain sarcomas, Wilms’ tumors and tumors associated with the Beckwith-Wiedermann syndrome. There is increasing interest in p57 as a marker in gestational disease. Gestational trophoblastic disease refers to a spectrum of proliferative disorders of the placental trophoblast, with a wide range of histologic appearances and clinical behaviors. Recent development in changes in the criteria for histologic diagnosis of these lesions due to earlier clinical diagnosis have been reviewed (Hui P et al., Advantages in Anatomical Pathology. 12(3): 116-125) (2005) and the ability to make more accurate diagnoses due to the introduction of newer antibodies such as p57 is discussed.

Disclaimer
p57 Protein is recommended for the detection of specific antigens of interest in normal and neoplastic tissues, as an adjunct to conventional histopathology using non-immunologic histochemical stains.

Products

Products

P57-L-CE
1ml NCL-L-p57

Downloads

Downloads

P57-L-CE

Recently Viewed