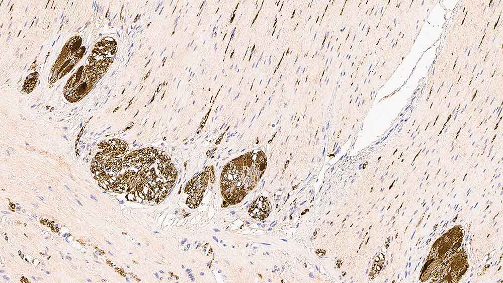
Antigen Background
Clone 22C9 reacts with the gamma-subunit of the enolase isoenzyme.
Disclaimer
Neuron Specific Enolase is recommended for the detection of specific antigens of interest in normal and neoplastic tissues, as an adjunct to conventional histopathology using non-immunologic histochemical stains.