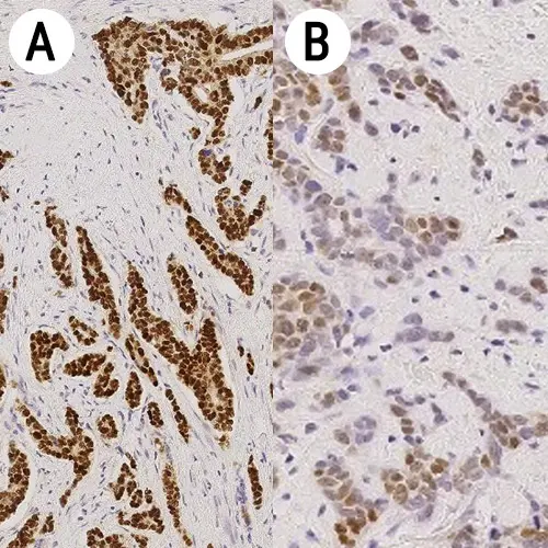
Left: Invasive ductal carcinoma (high expressor): intense nuclear staining in nearly 100% of tumor cells. Right: Invasive ductal carcinoma (moderate expressor): immunohistochemical staining for estrogen receptor. Note the heterogeneous nuclear staining of approximately 50% of tumor cells. Estrogen Receptor: clone 6F11

Estrogen Receptor

Antigen Background
Estrogen receptor (ER) content of breast cancer tissue is an important parameter in the prediction of prognosis and response to endocrine therapy. The introduction of highly specific monoclonal antibodies to ER has allowed the determination of receptor status of breast tumors to be carried out in routine histopathology laboratories.

Product Specific Information
Clone 6F11 is raised to the full-length alpha form of the estrogen receptor molecule.

Disclaimer
Estrogen Receptor is recommended for the detection of specific antigens of interest in normal and neoplastic tissues, as an adjunct to conventional histopathology using non-immunologic histochemical stains.

Products

Products

PA0009
30ml ER Bond RTU Primary
PA0151
7ml Estrogen Receptor Bond RTU Primary
ER-6F11-L-CE
1ml NCL-L-ER-6F11
ER-6F11-L-2-CE
2ml NCL-L-ER-6F11

Downloads

Downloads

PA0009

PA0151

ER-6F11-L-CE

ER-6F11-L-2-CE

Recently Viewed