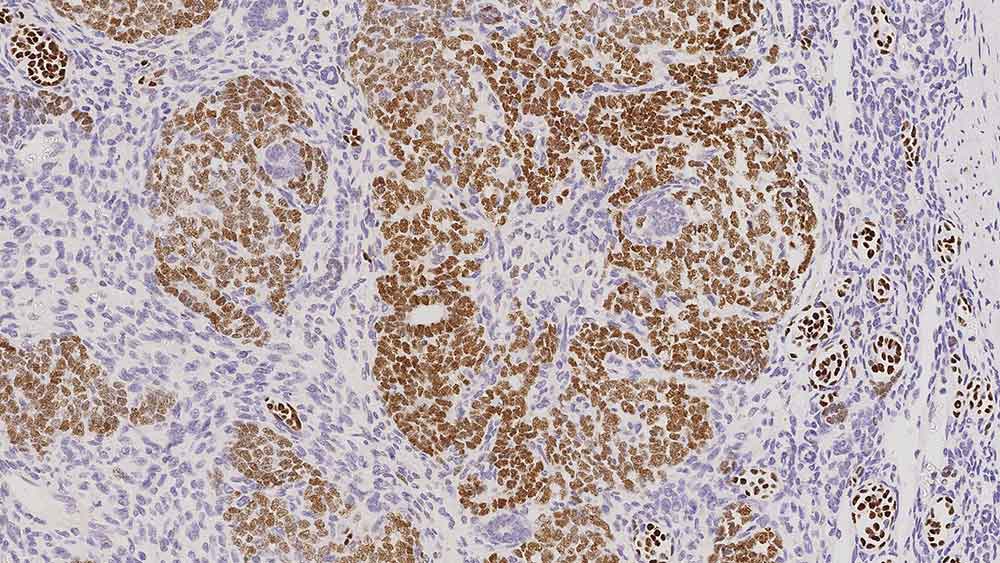
Human kidney: immunohistochemical staining for Wilms' tumor. Note the nuclear staining of invasive tumor cells. Wilms' Tumor: clone WT49

Wilms' Tumor

Hintergrund des Antigens

Das Wilms-Tumor-Protein (WT1) spielt bei der transkriptionalen Regulierung eine Rolle und wird in der Niere und einer Untergruppe der blutbildenden Zellen exprimiert. Die Veränderung der Funktion des Transkriptionsfaktors ist ein bei der Onkogenese häufiger Mechanismus.

Das WT1-Protein enthält eine DNA-bindende Domäne und jegliche Deletionen oder Punktmutationen des WT1-Gens, die diese Aktivität zerstören, führen zur Entstehung des Nephroblastoms, d. h. des Wilms-Tumors in der Kindheit und des Denys-Drash-Syndroms.

Die Beschreibung der WT1-Beteiligung am Nephroblastom ist unklar. Die Expression des WT1-Proteins durch Immunhistochemie wird bei Brustkrebs nie (oder nur sehr selten) nachgewiesen, und die Negativität wird als nützlicher Marker zur Unterscheidung zwischen Mammakarzinommetastasen und serösem primärem Ovarkarzinom betrachtet.

Dies weicht von Beobachtungen zur mRNA in diesen Tumoren ab, was jedoch noch immer ein ungeklärtes und komplexes Problem darstellt.

Endothelzellen reagieren bei Verwendung von Klon WT49 vorwiegend negativ. Ansonsten sind diese Zellen mit Klon 6FH2 immunoreaktiv.

Produkte

Produkte

WT1-562-L-CE
1ml NCL-L-WT1-562
PA0562
7ml Wilms Tumor Bond RTU Prim

Downloads

Downloads

WT1-562-L-CE

PA0562

Zuletzt angesehen