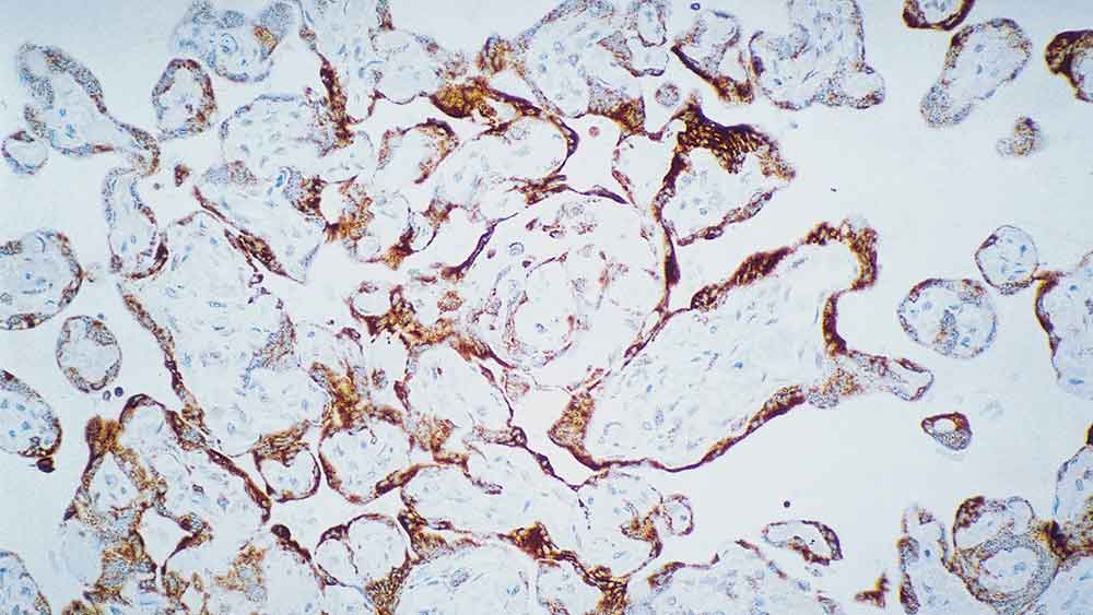
Human placenta: immunohistochemical staining for Vascular Endothelial Growth Factor Receptor-3: clone KLT9

Vascular Endothelial Growth Factor Receptor-3

Hintergrund des Antigens

VEGFR-3 (FLT4) ist eine Rezeptortyrosinkinase, die in ihrer Struktur VEGFR-1 und VEGFR-2 ähnelt, VEGF jedoch nicht bindet. Dennoch weisen die beiden bekannten Liganden einen hohen Grad an Homologie mit VEGF auf und sind als VEGF-C und VEGF-D bekannt.

VEGFR-3 wurde in zahlreichen Körpergeweben einschließlich Lunge, Darm, Gehirn und Plazenta (Synzytiotrophoblasten) nachgewiesen. Bei der Embryogenese wird VEGFR-3-mRNA in den meisten Endothelzellen exprimiert, während sie in der späteren Entwicklung auf die Lymphgefäße beschränkt ist. Sie scheint in der normalen Entwicklung der Blut- und Lymphgefäße eine wichtige Rolle zu spielen.

Bei Tumoren wurde die Expression im Endothel der Blutkapillaren beschrieben und VEGFR-3 ist vermutlich an der Angiogenese beim Tumorwachstum beteiligt.

Produkte

Produkte

VEGFR3-L
1ml NCL-L-VEGFR-3

Downloads

Downloads

VEGFR3-L

Zuletzt angesehen