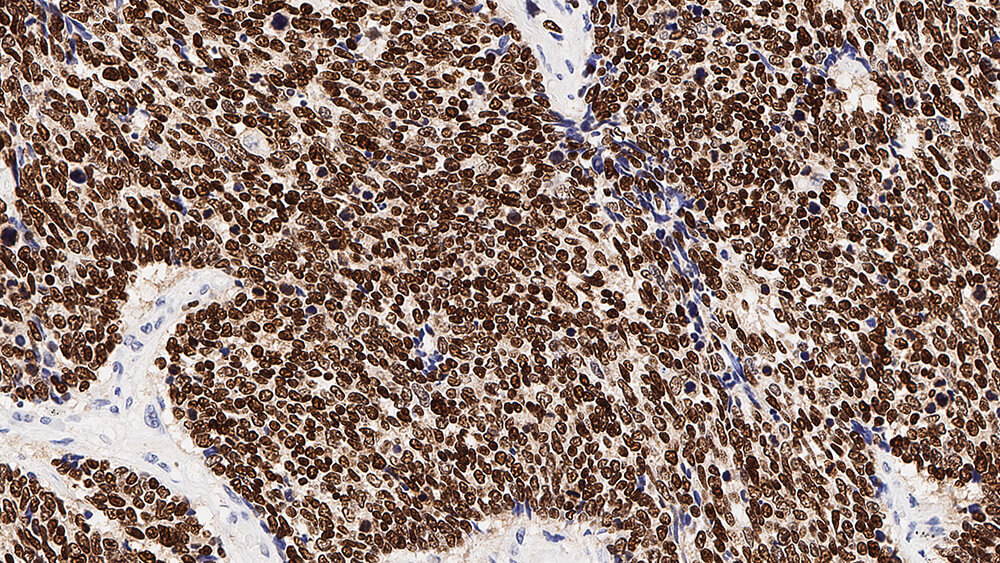
Human thyroid: immunohistochemical staining for Thyroid Transcription Factor-1. Note nuclear staining of thyroid epithelial cells. Thyroid Transcription Factor-1: clone SPT24

Thyroid Transcription Factor-1

Hintergrund des Antigens

Der thyroidale Transkriptionsfaktor 1 (TTF-1) gehört zur Familie der Homöodomäne-Transkriptionsfaktoren und spielt bei der Regulierung der in Schilddrüse, Lunge und Gehirn exprimierten Gene eine Rolle. Dazu gehören unter anderem Thyreoglobulin, thyroidale Peroxidase, sekretorische Clara-Zellproteine und Surfactant-Proteine.

Der humane TTF-1 (38 kD) ist ein einzelnes Polypeptid aus 371 Aminosäuren, das zu 98 % eine Homologie mit den entsprechenden Proteinen von Ratte und Maus aufweist.

Der TTF-1 funktioniert durch Bindung an spezifische Erkennungsstellen in einer Weise, die möglicherweise sowohl durch den Redox- als auch den Phosphorylierungsstatus des Proteins reguliert wird.

Neben seiner Rolle als gewebespezifischer Transkriptionsaktivator in erwachsenen Organen hat der TTF-1 möglicherweise gleichfalls bei der Organogenese eine Funktion.

In genspezifischen Studien wurde gezeigt, dass der TTF-1 für die korrekte Entwicklung von Schilddrüse und Lunge entscheidend ist, und dass seine abnormale Expression möglicherweise eine Reihe angeborener Anomalien unterstreicht.

Die Expression von TTF-1 wurde in mehr als 90 % der kleinzelligen Lungenkarzinome und in 75 % der nicht-kleinzelligen Lungenkarzinome beschrieben, jedoch nicht in typischen pulmonalen Karzinoiden.

TTF-1 wird ebenfalls bei papillären, follikulären Karzinomen und beim Struma, einer nicht-bösartigen Schwellung der Schilddrüse exprimiert, jedoch nicht in anaplastischen Schilddrüsenkarzinomen.

Produkte

Produkte

TTF-1-L-CE
1ml NCL-L-TTF-1
PA0364
7ml TTF-1 Bond RTU Primary

Downloads

Downloads

TTF-1-L-CE

PA0364

Zuletzt angesehen