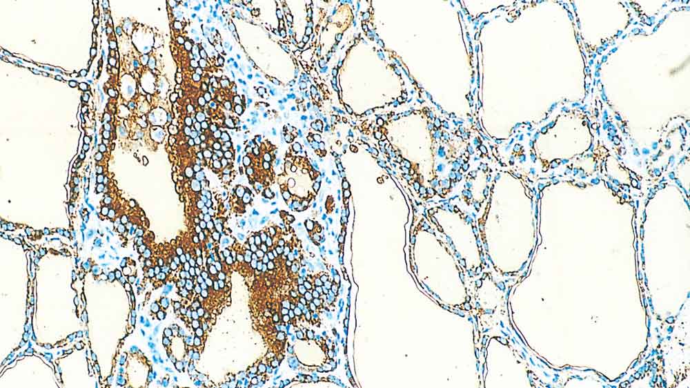
Human Thyriod: immunohistochemical staining of Thyroglobulin in the follicular epithelial cells. Thyroglobulin: clone 1D4

Thyroglobulin

Hintergrund des Antigens

Thyreoglobulin ist ein sehr stark glykosyliertes 670-kD-Protein, das aus zwei identischen Untereinheiten besteht und durch die follikulären Epithelzellen der Schilddrüse synthetisiert wird.

Thyreoglobulin stellt Jodierungsstellen für die Bildung der Schilddrüsenhormone bereit.

Produkte

Produkte

THY-L
1ml NCL-L-THY

Downloads

Downloads

THY-L

Zuletzt angesehen