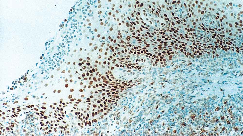
Human tonsil: immunohistochemical staining for Retinoblastoma Gene Protein. Note intense nuclear staining of epithelial cells. Retinoblastoma Gene Protein: clone 13A10

Retinoblastoma Gene Protein

Hintergrund des Antigens

Das Retinoblastom (Rb) ist ein seltener Tumor der Netzhaut, der mit Mutationen des Chromosoms 13 assoziiert wird. Das durch das Rb-Tumorsuppressor-Gen codierte nukleäre Phosphoprotein ist in zahlreichen Zellen vorhanden und reguliert, möglicherweise indirekt, das Zellwachstum durch Aktivierung des Transkriptionsfaktors ATF-2.

Die Aktivierung von ATF-2 initiiert die Expression von TGF-β2, was wiederum die Transkription von Genen hemmt, die das Zellwachstum beeinflussen. Die bilaterale Mutation des Rb-Gens kann bei der Entwicklung einer Reihe bösartiger Tumoren potenziell eine Rolle spielen.

NCL-RB-358 wurde für die N-terminale Region des Rb-Gen-Proteins entwickelt.

Produkte

Produkte

RB-358-L
1ml NCL-L-RB-358

Downloads

Downloads

RB-358-L

Zuletzt angesehen