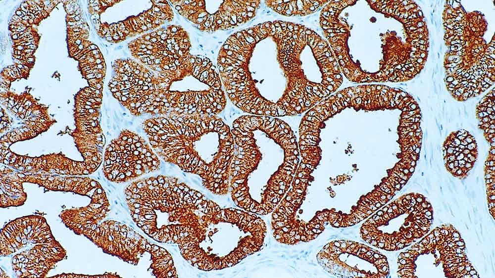
Human prostate, adenocarcinoma: immunohistochemical staining for prostatic acid phosphatase. Note cytoplasmic staining of tumor cells. Prostatic Acid Phosphatase: clone PASE/4LJ

Prostatic Acid Phosphatase

Hintergrund des Antigens

Prostataspezifische saure Phosphatase (PAP) ist ein Isoenzym der sauren Phosphatase, die in großen Mengen in Prostata und Samenflüssigkeit vorhanden sind.

Die genaue Funktion der PAP ist unbekannt, sie wirkt jedoch möglicherweise als Hydrolase, um das Phosphorylcholin im Samen zu spalten, sowie als Transferase.

Erhöhte Serumspiegel des Enzyms wurden in humanen metastasierenden Prostatakarzinomen beobachtet.

Produkte

Produkte

PAP-L
1ml NCL-L-PAP
PA0006
7ml PAP Bond RTU Primary

Downloads

Downloads

PAP-L

PA0006

Zuletzt angesehen