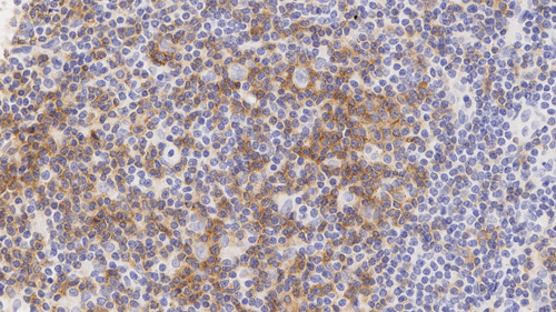
Hodgkin lymphoma: Immunohistochemistry staining of PD-1. PD-1: clone CAL20
Hodgkin lymphoma: Immunohistochemistry staining of PD-1. PD-1: clone CAL20
PD-1
Hintergründe des Antigen PD-1 (Programmed Death 1) ist ein 55KDa-Transmembran-Zelloberflächenrezeptor vom Typ I, der während der Aktivierung von T-Zellen exprimiert wird. Es wird außerdem in B-Zellen, dendritischen Zellen, natürlichen Killerzellen und einigen Knochenmarkszellen hochreguliert, was auf eine umfassende Rolle für PD-1 bei der Immunregulation hinweist. PD-1 interagiert mit mindestens zwei Liganden: PD-L1 und PD-L2. Die PD-1/PD-L1-Interaktion ist bei vielen T-Zellfunktionen wichtig, einschließlich akuter und chronischer Entzündung, Krebs und Immuntherapie.
Haftungsausschluss PD-1 wird für den Nachweis bestimmter Antigene in normalem und neoplastischem Gewebe als zusätzliches Hilfsmittel zur herkömmlichen Histopathologie unter Verwendung nicht-immunologischer histochemischer Färbemittel empfohlen.
Produkte
Produkte
PA0216
7mL PD-1 (CAL20) BOND RTU Primary
Product is out of stock
Due to manufacturing & supply chain issues, this product is currently unavailable. You may place your order and it will be fulfilled when the product is back in stock. For more help, please reach out to customer service at +1 844 534 2262 or nonurgentcs@leicabiosystems.com
Product is limited in stock
Product availability is limited, but products are in continuous production. Your order will be processed as normal and may take additional days to ship.