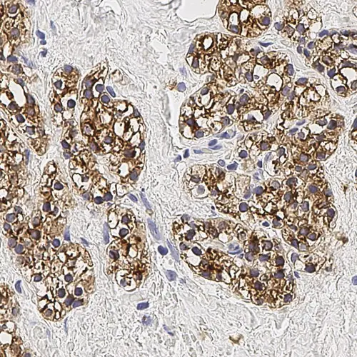
Human parathyroid adenoma: immunohistochemical staining for Parathyroid Hormone. Note membrane/cytoplasmic staining of tumor cells. Parathyroid Hormone: clone 105G7

Parathyroid Hormone

Hintergrund des Antigens

Die Nebenschilddrüsen sind kleine, ovale, endokrine Drüsen, die eng mit der Schilddrüse in Zusammenhang stehen. Die Nebenschilddrüsen regulieren über das Parathormon (Parathyrin) den Calcium- und Phosphatspiegel im Serum.

Das Parathormon erhöht das Serumcalcium direkt, indem der Anteil der Osteoklastenresorption erhöht und der Abbau der Knochenmatrix gefördert wird, und indirekt durch verstärkte renale tubuläre Rückresorption der Calciumionen und die Hemmung der Rückresorption der Phosphationen aus dem glomerulären Filtrat, sowie durch die Förderung der Resorption von Calcium aus dem Dünndarm.

Das Parathormon (PTH) ist der wichtigste Regulator des Calciumspiegels im Blut. Die Hauptzellen sind in der Nebenschilddrüse am stärksten verbreitet. Sie sind verantwortlich für die Sekretion des Parathormons. Antikörper gegen das Parathormon sind zusammen mit Antikörpern gegen Thyreoglobulin nützlich, um parathormonabgeleitete Läsionen von thyroidabgeleitete Läsionen zu differenzieren.

Produkte

Produkte

PTH-488-L-CE
1ml NCL-L-PTH-488

Downloads

Downloads

PTH-488-L-CE

Zuletzt angesehen