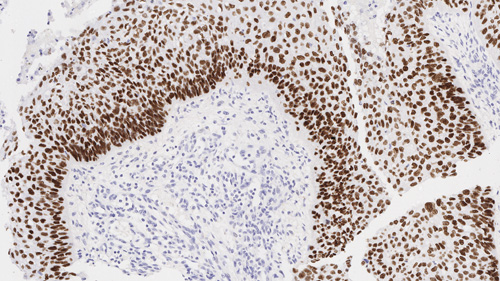
Squamous cell carcinoma of lung: Immunohistochemistry staining of p40. p40: clone BC28
Squamous cell carcinoma of lung: Immunohistochemistry staining of p40. p40: clone BC28
p40
Hintergründe des Antigens p40 (Delta Np63) ist ein gekürztes Produkt von p63. Es wird für gewöhnlich in der Basal- oder Vorläuferzellschicht von mehrschichtigen Epithelien, in den Basalzellen der Prostata sowie in den Myoepithelzellen der Brust und der Speicheldrüsen, und Zytotrophoblasten in der Plazenta exprimiert und zeigt mit IHC ein nukleares Färbemuster. Unter den zahlreichen Neoplasmen mit positiven p40-Markern können Plattenzellkarzinome mit pulmonalem und nicht-pulmonalem Ursprung von anderen Malignitäten unterschieden werden.
Haftungsausschluss p40 wird für den Nachweis bestimmter Antigene in normalem und neoplastischem Gewebe als zusätzliches Hilfsmittel zur herkömmlichen Histopathologie unter Verwendung nicht-immunologischer histochemischer Färbemittel empfohlen.
Produkte
Produkte
PA0163
7mL p40 (BC28) Bond RTU Primary
Product is out of stock
Due to manufacturing & supply chain issues, this product is currently unavailable. You may place your order and it will be fulfilled when the product is back in stock. For more help, please reach out to customer service at +1 844 534 2262 or nonurgentcs@leicabiosystems.com
Product is limited in stock
Product availability is limited, but products are in continuous production. Your order will be processed as normal and may take additional days to ship.