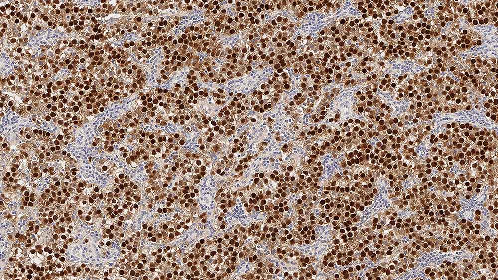
Human testes, seminoma: immunohistochemical staining for Oct-3/4. Note nuclear staining of neoplastic cells. Oct-3/4: clone N1NK

Oct-3/4

Hintergrund des Antigens

Oct-3/4 gehört zur POU-Familie, einer Gruppe von Transkriptionsfaktoren mit einer Homöodomäne, der in embryonalen Stammzellen und Keimzellen exprimiert wird. Eine kritische Menge an Okt3/4 ist erforderlich, um die Eigenreplikation der Stammzellen aufrechtzuerhalten. Ein Herunterregulieren von Oct-3/4 wird mit einem Verlust der Pluripotenz assoziiert.

Oct-3/4 wurde als nützlicher Marker für Keimzelltumoren vorgeschlagen, die Pluripotenzialitätsmerkmale zeigen, wie Seminome/Dysgerminome/Germinome und embryonale Karzinome, und um für einige metastasierende Tumoren mit unsicherem Primärtumor einen Keimzellenursprung festzulegen.

Produkte

Produkte

OCT3/4-L-CE
1ml NCL-L-OCT3/4
PA0193
7ml Oct-3/4 (N1NK) Bond RTU Primary
PA0934
7ml Oct-3/4 Bond RTU Primary

Downloads

Downloads

OCT3/4-L-CE

PA0193

PA0934

Zuletzt angesehen