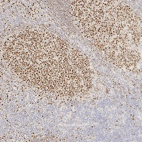
Human tonsil: immunohistochemical staining for Oct-2. Note strong staining of germinal centre B-cells. Oct-2: clone Oct-207

Oct-2

Hintergrund des Antigens

Oct-2 ist ein Transkriptionsfaktor, der zur POU-Familie mit einer Homöodomäne gehört, die an die Oktamer-Stellen des Ig-Gens bindet, die die B-Zellen-spezifischen Gene regulieren. Er ist von der Aktivität B-Zell-spezifischer Koaktivatoren wie BOB.1/OBF.1 abhängig. Die Expression des Oct-2-Proteins ist nicht auf B-Zellen beschränkt, auch wenn sie bei diesen Zellen sehr viel höher ist. Berichten zufolge weisen Keimzentrums-B-Zellen eine höhere Expression von Oct-2 und BOB.1/OBF.1 auf.

Darüber hinaus wurde festgestellt, dass die Oct-2-Expression in den aus dem Keimzentrum abstammenden Lymphomen signifikant stärker ist, auch wenn andere B-Zelllymphome ebenfalls eine hohe Expression aufweisen. Reed-Sternberg-Zellen (RS) sind die malignen Zellen beim klassischen Morbus Hodgkin, die von Keimzentrums-B-Zellen abstammen.

Bei etlichen dieser Fälle exprimieren die Zellen aufgrund sogenannter "Crippling Mutations" in den Ig-Genen kein Immunglobulin. Da die Expression des Ig-Gens in B-Zellen gleichfalls eine Interaktion zwischen den Oktamer-Bindungsstellen und den transaktivierenden Faktoren Oct-2 und BOB.1 erfordert, stellt die fehlende Expression von sowohl Oct-2 als auch BOB.1 einen neuartigen Mechanismus zur Deregulierung des Immunglobulingens in den RS-Zellen dar.

Produkte

Produkte

PA0532
7ml Oct-2 Bond RTU Primary

Downloads

Downloads

PA0532

Zuletzt angesehen