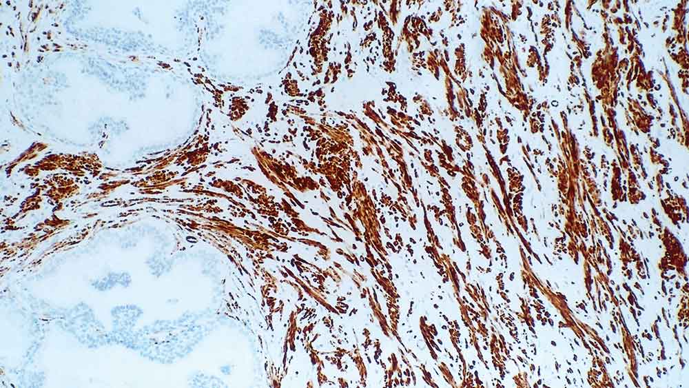
Human prostate: immunohistochemical staining for myosin heavy chain. Note intense staining of muscle fibers. Myosin Heavy Chain (smooth muscle): clone S131

Myosin Heavy Chain Antibodies

Hintergrund des Antigens

Myosin ist ein kontraktiles muskelspezifisches Protein, das aus zwei schweren und vier leichten Ketten besteht.

Die schwere Myosinkette besitzt zahlreiche Isoformen, spezifisch für verschiedene Muskel- oder Fasertypen, von denen einige entwicklungsreguliert sind.

Die schwere Myosinkette der glatten Muskulatur (SM-MHC) ist ein zytoplasmatisches Strukturprotein, das ein wichtiger Bestandteil des kontraktilen Apparats in glatten Muskelzellen darstellt.

Berichten zufolge ist sie für die Entwicklung glatter Muskeln spezifisch.

Produkte

Produkte

MHCD
1ml NCL-MHCd
MHCF
1ml NCL-MHCf
MHCN
1ml NCL-MHCn
MHCS
1ml NCL-MHCs
PA0493
7ml Myosin HC Bond RTU Primary

Downloads

Downloads

MHCD

MHCF

MHCN

MHCS

PA0493

Zuletzt angesehen