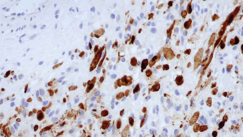
Human rhabdomyosarcoma: immunohistochemical staining for myoglobin. Note: nuclear staining. Myoglobin: clone MYO18

Myoglobin

Hintergrund des Antigens

Myoglobin ist ein zytoplasmatisches, einkettiges Polypeptid aus 153 Aminosäuren, das eine einzelne Häm-Gruppe enthält.

Myoglobin soll in der Skelettmuskulatur und im Herzmuskel, jedoch nicht in der glatten Muskulatur exprimiert werden und als Sauerstoff transportierendes Pigment fungieren.

Produkte

Produkte

PA0727
7ml Myoglobin Bond RTU Primary

Downloads

Downloads

PA0727

Zuletzt angesehen